Projekt 2011
04.03.2011 - 17.03.2011
Daniel wurde im Jahr 2004 von uns operiert. Seit dem hat sich sein Leben sehr zum Positiven verändert. Mittlerweile hat er seinen Bachelor of Information gemacht und arbeitet an der Universität in Addis Abeba.
Er hat uns diesen Brief für den Blog mitgegeben.
Wir haben uns dafür entschieden den Brief original in englisch abzudrucken, da durch die Übersetzung viele Emotionen verloren gehen würden.
Er hat uns diesen Brief für den Blog mitgegeben.
Wir haben uns dafür entschieden den Brief original in englisch abzudrucken, da durch die Übersetzung viele Emotionen verloren gehen würden.
Thank you - von Daniel Gebrehiwot
First of all i like to thank all members of "Heart for Ethiopia" be half of "We are One". You all are the reason that we are still alive. You have a special place in our HEARTS.
When i think about life it make me wonder, life is not like everybody expected or want. Sometimes people worry about how they celebrate their party, some worry about the diamand they ware, but when i think about me and the other kids and young people who have a cardiac problem, before having surgery we worry about the air that we breath.
Most of the cardiac patients have different and amazing life history depend on their cardiac problem. childhood is the most beautiful life part of human beings, we play, love, cry, but most children who have a cardiac problem spent their time in home and hospital. In countries like Ethiopia it is very difficult to get operated and there is no heart surgery. I remember the time i was sick, i was in middle school, i can´t do the thinks that i did before, i love soccer very much but i was to tired and sick so i can´t play, most of the time every family member worry when i was sick, specially my mom. She is my hero. She steps every hospital, she saw a lot of things because of me. She nearly lost all hope, when i took a long time at bed. She thought that i was dead. I don´t know my father well, he died when i was a baby. My mother is just like my father and mom. Almost it takes me 5 to 6 years to get surgery by "Heart for Ethiopia". I was happy. First of all getting the chance and second getting for my mom because she will rest.
I remember when i woke up after operation at the ICU, i was crying emotionally when i saw my mom and Klaus (he is a member of "Heart for Ethiopia") asking me why i was crying. I was just happy to see her. One of the kid who was operated with me died after the operation. The family was upset, but they came to Dr. Kifle and told him that they appreciate the things he did and told him that there are other children how need help as same as their son.
When Dr. Kifle had the idea to organize the children who got operated by "Heart for Ethiopia" he told us to think about a name for the organization. Then we discuss and came up with the name of: "WE ARE ONE". We dedicate the name because we all, the children and "Heart for Ethiopia", have a same subject (cardiac problem) and Dr. Kifle love about it. We planned to explain about the disease to other, how to prevent a cardiac problem, and if there are patients how to look after them, how they take their medicine and help each other discussing about our health and help each other with our education. Every kid is happy to do this. In order to get organized as a known organization by the government it requires a lot of things to take care of. A place is needed, as well as a plan, policy, board members and a lot of time. We are working on this things in the future, hold it as a plan.
Now it´s been seven years ago i got the operation and i am well an healthy. I graduated from Addis Ababa University in informatics faculty with a bachelor degree in information science. I am working at Addis Ababa University at IT Doctoral programm (IT PhD) as a computer technician. I am living with my mom and my sister. My life is completely changed after surgery. I am happy with my family. I talk with people share my life experience and tell them to clean their environment also checking hospital if they have tooth- or breathing problem seriously before it turn into cardiac problem.
When i think about life it make me wonder, life is not like everybody expected or want. Sometimes people worry about how they celebrate their party, some worry about the diamand they ware, but when i think about me and the other kids and young people who have a cardiac problem, before having surgery we worry about the air that we breath.
Most of the cardiac patients have different and amazing life history depend on their cardiac problem. childhood is the most beautiful life part of human beings, we play, love, cry, but most children who have a cardiac problem spent their time in home and hospital. In countries like Ethiopia it is very difficult to get operated and there is no heart surgery. I remember the time i was sick, i was in middle school, i can´t do the thinks that i did before, i love soccer very much but i was to tired and sick so i can´t play, most of the time every family member worry when i was sick, specially my mom. She is my hero. She steps every hospital, she saw a lot of things because of me. She nearly lost all hope, when i took a long time at bed. She thought that i was dead. I don´t know my father well, he died when i was a baby. My mother is just like my father and mom. Almost it takes me 5 to 6 years to get surgery by "Heart for Ethiopia". I was happy. First of all getting the chance and second getting for my mom because she will rest.
I remember when i woke up after operation at the ICU, i was crying emotionally when i saw my mom and Klaus (he is a member of "Heart for Ethiopia") asking me why i was crying. I was just happy to see her. One of the kid who was operated with me died after the operation. The family was upset, but they came to Dr. Kifle and told him that they appreciate the things he did and told him that there are other children how need help as same as their son.
When Dr. Kifle had the idea to organize the children who got operated by "Heart for Ethiopia" he told us to think about a name for the organization. Then we discuss and came up with the name of: "WE ARE ONE". We dedicate the name because we all, the children and "Heart for Ethiopia", have a same subject (cardiac problem) and Dr. Kifle love about it. We planned to explain about the disease to other, how to prevent a cardiac problem, and if there are patients how to look after them, how they take their medicine and help each other discussing about our health and help each other with our education. Every kid is happy to do this. In order to get organized as a known organization by the government it requires a lot of things to take care of. A place is needed, as well as a plan, policy, board members and a lot of time. We are working on this things in the future, hold it as a plan.
Now it´s been seven years ago i got the operation and i am well an healthy. I graduated from Addis Ababa University in informatics faculty with a bachelor degree in information science. I am working at Addis Ababa University at IT Doctoral programm (IT PhD) as a computer technician. I am living with my mom and my sister. My life is completely changed after surgery. I am happy with my family. I talk with people share my life experience and tell them to clean their environment also checking hospital if they have tooth- or breathing problem seriously before it turn into cardiac problem.

oben: Daniel vor der OP

oben: Daniel nach der OP, unten: Daniel mit seiner Mutter


oben: Daniel 2009 mit Michael Steiner, unten: Daniel 2009

Most of the time when people do same thing for people, they expect same thing reward, but one thing i learned from "Heart for Ethiopia" is when you help people or do same thing good for people do it for yourself , then he reward will come itself.
I think it is a beautiful thing & message that everybody should know it. One day they will see what it means.
14-03-2011
Daniel Gebrehiwot
WE ARE ONE
I think it is a beautiful thing & message that everybody should know it. One day they will see what it means.
14-03-2011
Daniel Gebrehiwot
WE ARE ONE
Freitag, 18.03.2011 - Nachsorge
Kerstin Niehoff und Dr. Kifle Tondo sind noch in Addis Abeba. Sie treten Morgen die Heimreise an. In den letzten Jahren war es auch schon so, dass eine Intensivpflegekraft und ein Intensivmediziner länger geblieben sind, um auch die am letzten Tag operierten Kinder optimal betreuen zu können. Es ist dem Team sehr wichtig, die äthiopischen Pflegekräfte nicht mit leicht instabilen Patienten "allein" zu lassen. Den Kindern geht es gut. Sie erholen sich gut von der Operation.

Kifle Tondo mit der Tochter einer Patientin
Donnerstag, 17.03.2011 - Heimreise
Nun ist es vorbei - das Projekt 2011. Alle Teammitglieder freuen sich darauf nach Hause zu kommen und Ihre Familien und Freunde wiederzusehen.
Gegen halb neun erreichte uns die Nachricht, dass fast alle Mitarbeiter eingecheckt haben und der Flieger zum Abflug bereit steht.
Um halb sechs dann der erste Anruf auf deutschem Boden. "Wir sind gelandet, jetzt holen wir die Koffer und dann geht´s Heim"!
Nach Mitternacht kam das Team am Klinikum in Braunschweig an.
Gegen halb neun erreichte uns die Nachricht, dass fast alle Mitarbeiter eingecheckt haben und der Flieger zum Abflug bereit steht.
Um halb sechs dann der erste Anruf auf deutschem Boden. "Wir sind gelandet, jetzt holen wir die Koffer und dann geht´s Heim"!
Nach Mitternacht kam das Team am Klinikum in Braunschweig an.

Mittwoch, 16.03.2011 - letzter Tag
Heute wurden die restlichen Utensilien zusammen gepackt und für die Heimreise vorbereitet.
Die Koffer stehen bereit, denn morgen geht es schon sehr früh los zum Flughafen.
Es geht allen operierten Kindern sehr gut. Sie konnten sich heute vom Team verabschieden, es war ein sehr rührender Abschied. Die Kinder hatten kleine Geschenke und Blumensträuße vorbereitet.
Die Koffer stehen bereit, denn morgen geht es schon sehr früh los zum Flughafen.
Es geht allen operierten Kindern sehr gut. Sie konnten sich heute vom Team verabschieden, es war ein sehr rührender Abschied. Die Kinder hatten kleine Geschenke und Blumensträuße vorbereitet.

oben: Michael Steiner erklärt den Aufbau der Herz-Lungen-Maschine (HLM), unten: Uwe Schönrock (Kardiotechniker) während einer OP an der HLM

Dienstag, 15.03.2011 - letzter OP-Tag
Guten Tag, mein Name ist Birgit Gerecke. Ich bin Kardiologin am Klinikum Wolfsburg. Ich darf das Team dieses Jahr zum zweiten Mal begleiten. Mit einem tragbaren Echogerät werden unsere Patienten vor, während und nach der Operation untersucht.
Dieses Jahr habe ich den direkten Vergleich. Aus den schwerkranken Kindern, die wir 2009 operiert haben, sind gesunde Jugendliche geworden. Sie sind gewachsen und haben ihre Zukunft in Schule und Ausbildung in Angriff genommen. Überwältigend!
Es gibt zwar noch keine Herzchirurgie im Black Lion Hospital, aber eine Kardiologie. Die Ärzte vor Ort suchen den fachlichen Austausch mit uns und haben sich diverse Vorlesungsthemen gewünscht. Ein Schritt zur Selbsthilfe.
Ich bin sehr dankbar, dass ich dabei sein darf und möchte hier auch allen danken, die dieses Projekt unterstützen. Ohne euch wären wir nicht hier. Birgit Gerecke.
Dieses Jahr habe ich den direkten Vergleich. Aus den schwerkranken Kindern, die wir 2009 operiert haben, sind gesunde Jugendliche geworden. Sie sind gewachsen und haben ihre Zukunft in Schule und Ausbildung in Angriff genommen. Überwältigend!
Es gibt zwar noch keine Herzchirurgie im Black Lion Hospital, aber eine Kardiologie. Die Ärzte vor Ort suchen den fachlichen Austausch mit uns und haben sich diverse Vorlesungsthemen gewünscht. Ein Schritt zur Selbsthilfe.
Ich bin sehr dankbar, dass ich dabei sein darf und möchte hier auch allen danken, die dieses Projekt unterstützen. Ohne euch wären wir nicht hier. Birgit Gerecke.
Nun ist unser "Urlaub" fast vorbei. Heute war der letzte Operationstag und morgen heißt es "den Rest" zusammen packen.
Die Anspannung die man doch jedem mehr oder weniger anmerkt weicht jetzt dem Gefühl der Wehmut.
"Weh" weil es doch noch so viel zu tun gäbe und "Mut" mit einem nächsten Projekt wieder einen kleinen Teil bewegen zu können.
Heute Nacht gab es ein Gewitter mit so viel Regen, sodass uns Afrika schon auf die Heimreise vorbereitet und jeder dem Abflug erwartungsvoll entgegensieht.
Für das OP-Team, Kathrin Schwarz.
Die Anspannung die man doch jedem mehr oder weniger anmerkt weicht jetzt dem Gefühl der Wehmut.
"Weh" weil es doch noch so viel zu tun gäbe und "Mut" mit einem nächsten Projekt wieder einen kleinen Teil bewegen zu können.
Heute Nacht gab es ein Gewitter mit so viel Regen, sodass uns Afrika schon auf die Heimreise vorbereitet und jeder dem Abflug erwartungsvoll entgegensieht.
Für das OP-Team, Kathrin Schwarz.

Birgit Gerecke untersucht den Patienten während einer OP.


oben: Marcel Anssar und Kathrin Schwarz während einer OP. unten: ein Teil des OP-Teams.

Montag, 13.03.2011 - Anästhesie und Kinderstation
Hi, ich bin Clemens, einer der Anästhesisten. Normalerweise sind wir am besten, wenn keiner der Patienten etwas merkt. Hier ist das anders. Die Freundlichkeit, Dankbarkeit und Zugewandtheit die man von Patienten und Angehörigen erfährt ist unbeschreiblich. Die Sorgen der Menschen hier stehen im eigentümlichen Kontrast zu den Alltagsproblemen die uns in Deutschland beschäftigen.
Heute habe ich Geburtstag - Überraschung. Zum Frühstück stehen Kerzen, Luftballons und eine Torte vom deutschen Bäcker aus Addis Abeba auf dem Tisch - ich habe mich sehr gefreut. Ich glaube wir sind ein gutes Team.
Noch zwei Patienten! Wenn alles gut geht, wird das ein erfolgreicher Einsatz.
Clemens Joch.
Heute habe ich Geburtstag - Überraschung. Zum Frühstück stehen Kerzen, Luftballons und eine Torte vom deutschen Bäcker aus Addis Abeba auf dem Tisch - ich habe mich sehr gefreut. Ich glaube wir sind ein gutes Team.
Noch zwei Patienten! Wenn alles gut geht, wird das ein erfolgreicher Einsatz.
Clemens Joch.
Auch aus Deutschland senden wir ganz liebe Grüße zum Geburtstag, lieber Clemens.
Hallo, ich heiße Yvonne Sammar und bin das 1. Mal für "Heart-for-Ethiopia" mit in Addis Abeba. Ich bin als Krankenschwester für die Intensivstation mitgeflogen. Ich möchte Euch einen kurzen Einblick über die Kinderstation in der siebten Etage geben. Hier werden Kinder im Alter von eins bis fünf Jahren behandelt.
Diese Station besuchte ich, da ich Kleidung für die Kinder mitgenommen hatte. Im Treppenhaus der siebten Etage befinden sich schöne, groß gemalte Kindermotive an den Wänden. Beim betreten der Station kam uns jedoch ein starker Urin- und Essensgeruch entgegen. Die Kinder lagen entweder in einem Kinderbett oder mit Ihren Eltern neben dem Bett auf dem Boden.
Meine Kollegen und ich stellten uns bei der Stationsschwester vor. Diese begleitete uns durch die Patientenzimmer und überwachte die Verteilung der mitgebrachten Sachen. Sie gab vor wer etwas bekommen sollte oder nicht. Das schöne an der Vergabe war das Strahlen der Kinderaugen und die Freude der Eltern. Die Kinder begannen sofort sich auszuziehen, um die neuen Sachen zu tragen. Sie präsentierten die neue Kleidung ganz stolz und freuten sich dabei. Die Eltern bedankten sich mehrfach.
Am nächsten Tag besuchte ich die Station erneut. Ich hatte schon ein weites, langes, gelbes Kleid für ein krankes Mädchen mit einem Wasserbauch zurückgelegt. Es passte perfekt und die Freude des Vaters war riesig. Trotz der schlechten Lebenssituation der Menschen, finde ich es bewundernswert, dass Sie immer noch ein Lächeln im Gesicht haben. Liebe Grüße, Yvonne.
Diese Station besuchte ich, da ich Kleidung für die Kinder mitgenommen hatte. Im Treppenhaus der siebten Etage befinden sich schöne, groß gemalte Kindermotive an den Wänden. Beim betreten der Station kam uns jedoch ein starker Urin- und Essensgeruch entgegen. Die Kinder lagen entweder in einem Kinderbett oder mit Ihren Eltern neben dem Bett auf dem Boden.
Meine Kollegen und ich stellten uns bei der Stationsschwester vor. Diese begleitete uns durch die Patientenzimmer und überwachte die Verteilung der mitgebrachten Sachen. Sie gab vor wer etwas bekommen sollte oder nicht. Das schöne an der Vergabe war das Strahlen der Kinderaugen und die Freude der Eltern. Die Kinder begannen sofort sich auszuziehen, um die neuen Sachen zu tragen. Sie präsentierten die neue Kleidung ganz stolz und freuten sich dabei. Die Eltern bedankten sich mehrfach.
Am nächsten Tag besuchte ich die Station erneut. Ich hatte schon ein weites, langes, gelbes Kleid für ein krankes Mädchen mit einem Wasserbauch zurückgelegt. Es passte perfekt und die Freude des Vaters war riesig. Trotz der schlechten Lebenssituation der Menschen, finde ich es bewundernswert, dass Sie immer noch ein Lächeln im Gesicht haben. Liebe Grüße, Yvonne.

Kurz nach der Anreise in Addis Abeba.

Clemens Joch erklärt den äthiopischen Pflegekräften den Ablauf der OP.

Yvonne Sammar, Krankenschwester


Sonntag, 13.03.2011 - Intensivstation
"Dehma Yewallu!" Das heißt "GutenTag" auf amharisch. Meine Name ist Kerstin Niehoff. Ich bin Fachkrankenschwester für Intensivpflege und begleite das Team zum zweiten Mal.
Die Intensivstation des Black Lion Hospital liegt in der 4. Etage. Das äthiopische Pflegepersonal freut sich jedes Mal wenn wir atemlos vom Treppensteigen um die Ecke gebogen kommen. Im Gegensatz zum letzten Mal sind die äthiopischen Schwestern sehr motiviert. Sofort sind sie zur Stelle wenn es etwas zu tun gibt. Die Verständigung auf englisch oder mit Händen und Füßen funktioniert gut und zusammen mit den Patienten wird viel gelacht.
Leider funktioniert die Technik auf Station nicht so gut. Nachts wird oft das Wasser abgestellt, also funktioniert auch keine Toilettenspülung. Zum Händewaschen müssen wir Wasser in allen möglichen Behältern regelrecht bunkern. Auch fällt ab und zu die Druckluftversorgung für die Beatmungsgeräte aus. Dies wurde vom Team aber schon im Voraus bedacht und so haben wir Geräte, die solche Störungen kompensieren können.
Die Intensivstation des Black Lion Hospital liegt in der 4. Etage. Das äthiopische Pflegepersonal freut sich jedes Mal wenn wir atemlos vom Treppensteigen um die Ecke gebogen kommen. Im Gegensatz zum letzten Mal sind die äthiopischen Schwestern sehr motiviert. Sofort sind sie zur Stelle wenn es etwas zu tun gibt. Die Verständigung auf englisch oder mit Händen und Füßen funktioniert gut und zusammen mit den Patienten wird viel gelacht.
Leider funktioniert die Technik auf Station nicht so gut. Nachts wird oft das Wasser abgestellt, also funktioniert auch keine Toilettenspülung. Zum Händewaschen müssen wir Wasser in allen möglichen Behältern regelrecht bunkern. Auch fällt ab und zu die Druckluftversorgung für die Beatmungsgeräte aus. Dies wurde vom Team aber schon im Voraus bedacht und so haben wir Geräte, die solche Störungen kompensieren können.
Natürlich gibt es im Krankenhaus einen Aufzug. Unser Klinikpersonal zieht wenn es möglich ist die Treppe vor, da die Aufzüge schon mal stecken bleiben. Für die Patiententransporte auf die Intensivstation muss der Aufzug genutzt werden. Für das Team bedeutet das, dass genügend Sauerstoff und Notfallmedikamente mitgenommen werden müssen.
OP-Bericht:
Heute wurden zwei Mädchen erfolgreich operiert. Die erste Patientin ist Anfang 20 und wiegt 35kg. Bei Ihr wurde ein Mitralklappenersatz und eine Trikuspidalklappenrekonstruktion vorgenommen.
Bei der zweiten Patientin konnte die Mitralklappe rekonstruiert werden, es musste kein mechanischer Klappenersatz vorgenommen werden. Dies ist ein schöner Erfolg, da die junge Frau keine gerinnungshemmenden Medikamente (Marcumar) einnehmen muss. Für sie besteht weiterhin die Möglichkeit, Kinder zu bekommen.
Heute waren ebenfalls die bereits in den letzten Jahren operierten Kinder zur Nachuntersuchung im Krankenhaus. Es wurde bei jedem eine Echokardiographie (Herzultraschall) gemacht und eine INR-Bestimmung im Blut vorgenommen. Dies ist ein Laborwert, der ausschlaggebend für die Marcumardosierung ist.
Heute wurden zwei Mädchen erfolgreich operiert. Die erste Patientin ist Anfang 20 und wiegt 35kg. Bei Ihr wurde ein Mitralklappenersatz und eine Trikuspidalklappenrekonstruktion vorgenommen.
Bei der zweiten Patientin konnte die Mitralklappe rekonstruiert werden, es musste kein mechanischer Klappenersatz vorgenommen werden. Dies ist ein schöner Erfolg, da die junge Frau keine gerinnungshemmenden Medikamente (Marcumar) einnehmen muss. Für sie besteht weiterhin die Möglichkeit, Kinder zu bekommen.
Heute waren ebenfalls die bereits in den letzten Jahren operierten Kinder zur Nachuntersuchung im Krankenhaus. Es wurde bei jedem eine Echokardiographie (Herzultraschall) gemacht und eine INR-Bestimmung im Blut vorgenommen. Dies ist ein Laborwert, der ausschlaggebend für die Marcumardosierung ist.

deutsche und äthiopische Krankenschwester - Kerstin Niehoff und Hiwot Tadesse

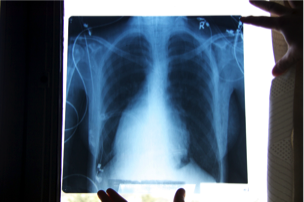
Zusammenarbeit auf der Intensivstation, Patient wird zum Rötgen vorbereitet

Routineuntersuchung nach jeder OP auf der Intensivstation. Röntgenbild vom Thorax, um Komplikationen zu vermeiden (z. B. Nachblutungen)

Birgit Gerecke bei einer Echokardiographie.
Eindrücke: 1. Foto: äthiopische Kollegen lernen von den deutschen Ärzten, 2. Foto: Transport auf die Intensivstation, 3. Foto: auf der Intensivstation, 4. Foto: die Wäscherei




Samstag, 12.03.2011
Bericht zum Tag von Marcel Anssar, Chirurg:
Heute ist der Tag an dem ein Teil des Teams wechselt. Es war eigentlich ein Tag Pause geplant, da wir aber durch eine Patientin mit Komplikationen im Rückstand waren, hat die Mannschaft beschlossen diese Operation nach zu holen. Es wurden erfolgreich zwei neue Herzklappen eingesetzt.
Das Team hat aber noch etwas Pause gehabt, vorher wurden die Patienten visitiert, die bereits in die Hände der äthiopischen Kollegen übergeben wurden. Dies sind mittlerweile 6 Jungen und Mädchen die auf einer Nachbarstation versorgt werden. Wir schauen täglich nach Ihnen und es geht allen sehr gut.
Die Angst, die vor einer Operation immer vorhanden ist, ist verflogen.
Heute ist der Tag an dem ein Teil des Teams wechselt. Es war eigentlich ein Tag Pause geplant, da wir aber durch eine Patientin mit Komplikationen im Rückstand waren, hat die Mannschaft beschlossen diese Operation nach zu holen. Es wurden erfolgreich zwei neue Herzklappen eingesetzt.
Das Team hat aber noch etwas Pause gehabt, vorher wurden die Patienten visitiert, die bereits in die Hände der äthiopischen Kollegen übergeben wurden. Dies sind mittlerweile 6 Jungen und Mädchen die auf einer Nachbarstation versorgt werden. Wir schauen täglich nach Ihnen und es geht allen sehr gut.
Die Angst, die vor einer Operation immer vorhanden ist, ist verflogen.


Bericht zum Tag von Matthias Richter, Chirurg:
Freitagabend nach einer Woche in Addis Abeba. Treffen mit den bereits in den Jahren zuvor operierten Kindern, alle sind wohlauf (Kinder und Team). Es war ein sehr schöner Abend mit Blick auf die erste Woche und die letzten drei Projekte. Wir bekommen Schals geschenkt und sind alle tief bewegt. Der Mann von Jubaba Said bedankt sich mit rührenden Worten. Jubaba ist Mutter von drei Kindern und wurde vor zwei Jahren operiert. Mit dabei sind auch zwei Schweizer Physiotherapeutinnen, die auch unsere Patienten betreuen.
Freitagabend nach einer Woche in Addis Abeba. Treffen mit den bereits in den Jahren zuvor operierten Kindern, alle sind wohlauf (Kinder und Team). Es war ein sehr schöner Abend mit Blick auf die erste Woche und die letzten drei Projekte. Wir bekommen Schals geschenkt und sind alle tief bewegt. Der Mann von Jubaba Said bedankt sich mit rührenden Worten. Jubaba ist Mutter von drei Kindern und wurde vor zwei Jahren operiert. Mit dabei sind auch zwei Schweizer Physiotherapeutinnen, die auch unsere Patienten betreuen.
Freitag, 11.03.2011 - Halbzeit
Heute wurde ein junges Mädchen (ca. 24 Jahre alt) operiert. Das war eine der schwierigsten Eingriffe bisher. Bei der Patientin wurden 3 Herzklappen ersetzt, die Mitralklappe, die Aortenklappe und die Trikuspidalklappe. Die Operation ist gut verlaufen und die Patientin wurde ebenfalls stabil auf die Intensivstation verlegt.
Morgen treten die ersten 4 Teammitglieder Ihre Heimreise an. Unter Ihnen ist auch Wolfgang Harringer.

Statement zum Tag von PD Dr. med. Wolfgang Harringer:
Bis heute Abend wurden 9 Patienten erfolgreich operiert, was nur Dank der engen Zusammenarbeit mit den äthiopischen Ärzten und Pflegekräften möglich war. Die äthiopischen Kollegen betonen immer die vorbildliche Effizienz und Leistungsbereitschaft des deutschen Teams. Diese Qualitäten wurden heute Morgen gegen 4.00 Uhr maximal gefordert, als wegen einer Blutungskomplikation eine Notoperation erforderlich wurde. Alleine auf uns gestellt, im verlassenen nächtlichen Operationssaal des Black Lion Krankenhauses muss jedes Mitglied seine Aufgabe buchstäblich "im Schlaf" beherrschen. Die schwerkranke Patientin konnte gerettet werden, die Aufgaben des Tages wurden beim Frühstück neu verteilt und trotz der nächtlichen Aktivitäten konnten wie geplant zwei Patienten im Tagesprogramm operativ mit neuen Klappen versorgt werden. Neben der medizinischen Tätigkeit rundeten ein Besuch des "Mercato", des größten afrikanischen Marktes mit zahlreichen eindrucksvollen Fotos und ein äthiopisches Abendessen den Tag ab.
Bis heute Abend wurden 9 Patienten erfolgreich operiert, was nur Dank der engen Zusammenarbeit mit den äthiopischen Ärzten und Pflegekräften möglich war. Die äthiopischen Kollegen betonen immer die vorbildliche Effizienz und Leistungsbereitschaft des deutschen Teams. Diese Qualitäten wurden heute Morgen gegen 4.00 Uhr maximal gefordert, als wegen einer Blutungskomplikation eine Notoperation erforderlich wurde. Alleine auf uns gestellt, im verlassenen nächtlichen Operationssaal des Black Lion Krankenhauses muss jedes Mitglied seine Aufgabe buchstäblich "im Schlaf" beherrschen. Die schwerkranke Patientin konnte gerettet werden, die Aufgaben des Tages wurden beim Frühstück neu verteilt und trotz der nächtlichen Aktivitäten konnten wie geplant zwei Patienten im Tagesprogramm operativ mit neuen Klappen versorgt werden. Neben der medizinischen Tätigkeit rundeten ein Besuch des "Mercato", des größten afrikanischen Marktes mit zahlreichen eindrucksvollen Fotos und ein äthiopisches Abendessen den Tag ab.

Wolgang Harringer während einer Operation am offenen Herzen

wohlauf nach der Operation
Bericht vom Team: Seit heute sind alle Teammitglieder wieder wohlauf. Der Appetit ist zurückgekehrt und das ist ein gutes Zeichen. Es geht allen gut. Heute Morgen war ein Teil von uns auf dem "Mercato". Wir wurden von einheimischen Krankenpflegern begleitet. Es war sehr schön. Die Erholung tat sehr gut. Viele Grüße an alle zu Hause, macht Euch keine Sorgen. Und vielen vielen Dank für die vielen Einträge im Gästebuch. Es freut und stärkt uns, wenn wir sehen wie viele Menschen unser Projekt verfolgen. Die Besucherzahlen von unserer Homepage sind explodiert. Dankeschön


Donnerstag, 10.03.2011 - 04.00 Uhr Nachts
Eine von vorgestern operierte Patientin wurde auf der Intensivstation instabil. Ihr Zustand hat sich schnell verschlechtert. Die Diagnose: wahrscheinlich Blutungskomplikationen am Herzen. Das OP-Team wurde zusammengerufen und war innerhalb von 10 Minuten im Krankenhaus. Dank der großen Erfahrung und der vorhandenen Routine konnte diese schwierige Situation unter den gegebenen Umständen erfolgreich gemeistert werden. Die Patientin konnte in den frühen Morgenstunden auf die Intensivstation verlegt werden und ist bis jetzt kreislaufstabil.
Im Laufe des Tages folgten noch zwei weitere Operationen. Es wurden zwei junge Frauen operiert. Beide Patientinnen sind Anfang 20. Es wurden jeweils die Mitral- und Aortenklappe ersetzt. Die Eingriffe sind gut verlaufen. Die beiden Mädchen konnten ebenfalls auf die Intensivstation verlegt werden.
Im Laufe des Tages folgten noch zwei weitere Operationen. Es wurden zwei junge Frauen operiert. Beide Patientinnen sind Anfang 20. Es wurden jeweils die Mitral- und Aortenklappe ersetzt. Die Eingriffe sind gut verlaufen. Die beiden Mädchen konnten ebenfalls auf die Intensivstation verlegt werden.
Die Zusammensetzung des Mannschaft hat sich in den letzten Jahren nicht sehr stark verändert. Dieser Zustand spielt gerade in Extremsituationen, wie eben beschrieben, eine große Rolle. Viele Teammitglieder verstehen sich blind. Jeder kennt seine und größtenteils auch die Aufgaben der anderen, somit ist schnelle Hilfe immer gewährleistet.

Eindrücke 1. Foto: kurz vor der OP, 2. Foto: auf dem Weg ins Klinikum, 3. Foto: Einfallsreichtum, 4. Foto: Atemübungen nach der OP




Mittwoch, 09.03.2011
Das bleibt nicht aus, leider! In den letzten zwei Tagen mussten einige Teammitglieder das Bett hüten. Einige hatten Bauchschmerzen, bei anderen war es noch schlimmer. Zum Glück kümmert sich jeder um jeden. Es herrschen einfach andere Bedingungen in Addis Abeba. Es gibt anderes Essen, nicht jeder verträgt die fremde Kost. Die Hygienebedingungen sind auch nicht immer so wie in Deutschland.

Im OP- Anspannung pur.
Eindrücke:
Hallo mein Name ist Ingo Breitenbach. Ich absolviere derzeit meine Facharztausbildung im Bereich Herzchirurgie im Kinikum Braunschweig und ich bin als Assistenzarzt für die Intensivstation mit nach Addis Abeba gefahren. Ich bin jetzt das dritte Mal mit dabei.
Wenn ich in meinem Bekanntenkreis erzähle, dass ich an diesem Projekt teilnehme, dann ist die erste Reaktion immer "Oh wow das ist ja super, das finde ich echt toll". Anschließend kommt dann "Und was bekommst du dafür?". Lebenserfahrung, die ich nicht mehr missen möchte, ich kann helfen und weiß, dass die Hilfe ankommt. Dafür bin ich gern bereit Urlaub zu nehmen und ein Teil der Kosten selbst zu tragen.
Hallo mein Name ist Ingo Breitenbach. Ich absolviere derzeit meine Facharztausbildung im Bereich Herzchirurgie im Kinikum Braunschweig und ich bin als Assistenzarzt für die Intensivstation mit nach Addis Abeba gefahren. Ich bin jetzt das dritte Mal mit dabei.
Wenn ich in meinem Bekanntenkreis erzähle, dass ich an diesem Projekt teilnehme, dann ist die erste Reaktion immer "Oh wow das ist ja super, das finde ich echt toll". Anschließend kommt dann "Und was bekommst du dafür?". Lebenserfahrung, die ich nicht mehr missen möchte, ich kann helfen und weiß, dass die Hilfe ankommt. Dafür bin ich gern bereit Urlaub zu nehmen und ein Teil der Kosten selbst zu tragen.
Dienstag, 08.03.2011 Black Lion Hospital - 3. OP Tag
Für den heutigen Tag waren wieder 2 OP´s geplant. Leider musste die 2. OP auf Morgen verschoben werden. Die erste Patientin heute war ein ca. 24jähriges Mädchen. Die Diagnose lautete: Mitralklappenstenose. Bei der OP gab es einige Komplikationen, sodass sich die OP fast über den ganzen Tag zog. Das Mädchen konnte stabil auf die Intensivstation verlegt werden.
Bericht vom Team:
Die allgemeine Situation im Krankenhaus hat sich leicht verbessert. Das Krankenhaus wurde oberflächlich saniert und auch die Organisation ist etwas besser als in vorangegangen Jahren. Leider wurden wir in diesem Jahr bereits 4mal "überfallen". Meistens waren es kleine Gruppen von Jugendlichen, die gehofft haben im vorbeilaufen etwas ergattern zu können. Zum Glück ist uns nichts passiert. Die Verluste waren zu verkraften.
Auch Meskerem (eine im Jahr 2004 operierte Patientin) berichtete uns ebenfalls, dass die Kriminalität zugenommen hat.
Die allgemeine Situation im Krankenhaus hat sich leicht verbessert. Das Krankenhaus wurde oberflächlich saniert und auch die Organisation ist etwas besser als in vorangegangen Jahren. Leider wurden wir in diesem Jahr bereits 4mal "überfallen". Meistens waren es kleine Gruppen von Jugendlichen, die gehofft haben im vorbeilaufen etwas ergattern zu können. Zum Glück ist uns nichts passiert. Die Verluste waren zu verkraften.
Auch Meskerem (eine im Jahr 2004 operierte Patientin) berichtete uns ebenfalls, dass die Kriminalität zugenommen hat.

oben: Erfindungsreichtum ist gefragt! "Wenn sich das Bett nicht verstellen lässt, dann kommt eben ein Stuhl drunter!" unten: auf der Intensivstation

Eindrücke:
Hallo mein Name ist Sabine Wapniarz. Ich bin gelernte Krankenschwester und arbeite auf der Medizinisch-Neurologischen Intensivstation im Klinikum Braunschweig.
Ich bin das erste Mal dabei und ich war sehr aufgeregt und gespannt was mich dort unten in Addis Abeba erwartet. Am ersten Tag habe ich mit den Kollegen die Intensivstation aufgebaut. Es gab zwar einige Verzögerungen, aber am Ende des Tages hatten wir alles geschafft. Danach gab es eine Teambesprechung für den ersten OP Tag. Mein erster Dienst begann am Ende des ersten Operationstages, ein 24-Stunden-Dienst. Die Kinder waren kreislaufstabil und konnten regulär extubiert werden. Zum Glück gab es keine Komplikationen. Ich bin positiv überrascht wie gut sich das Team gegenseitig unterstützt und hilft.
Hallo mein Name ist Sabine Wapniarz. Ich bin gelernte Krankenschwester und arbeite auf der Medizinisch-Neurologischen Intensivstation im Klinikum Braunschweig.
Ich bin das erste Mal dabei und ich war sehr aufgeregt und gespannt was mich dort unten in Addis Abeba erwartet. Am ersten Tag habe ich mit den Kollegen die Intensivstation aufgebaut. Es gab zwar einige Verzögerungen, aber am Ende des Tages hatten wir alles geschafft. Danach gab es eine Teambesprechung für den ersten OP Tag. Mein erster Dienst begann am Ende des ersten Operationstages, ein 24-Stunden-Dienst. Die Kinder waren kreislaufstabil und konnten regulär extubiert werden. Zum Glück gab es keine Komplikationen. Ich bin positiv überrascht wie gut sich das Team gegenseitig unterstützt und hilft.
Montag, 07.03.2011 Black Lion Hospital - 2. OP Tag
Heute wurden zwei Mädchen operiert. Die erste Patientin war 17 Jahre alt und die zweite Patientin war 19 Jahre alt. Beide Mädchen waren ca. 45kg schwer bei einer Körpergröße von 150 cm. Bei dem 17jährigen Mädchen lautete die Diagnose: Mitralklappeninsuffizienz. Für das 19jährige Mädchen stellten die Ärzte die Diagnose: Mitralklappen- und Aortenklappeninsuffizienz. Die 2. OP war etwas schwieriger, da hier zwei Herzklappen ersetzt werden mussten. Beide Patienten konnten stabil auf die Intensivstation verlegt werden.
Ein Wiedersehen.
Die vor 2 Jahren operierten Jugendlichen werden in der Zeit, die das Team in Addis Abeba verbringt, nachuntersucht. Heute war eine junge Frau im Krankenhaus die bereits zum Zeitpunkt der OP, im Mai 2009, Mutter von 3 Kindern war. Sie hat sich nach Operation sehr gut erholt und kann mit Ihren Kindern in eine gute Zukunft blicken. Für das gesamte Team war dies ein sehr schöner Erfolgsmoment.
Die vor 2 Jahren operierten Jugendlichen werden in der Zeit, die das Team in Addis Abeba verbringt, nachuntersucht. Heute war eine junge Frau im Krankenhaus die bereits zum Zeitpunkt der OP, im Mai 2009, Mutter von 3 Kindern war. Sie hat sich nach Operation sehr gut erholt und kann mit Ihren Kindern in eine gute Zukunft blicken. Für das gesamte Team war dies ein sehr schöner Erfolgsmoment.

unteres Bild: Jubaba Said mit Ihren 3 Kindern.

Sonntag 06.03.2011 Black Lion Hospital - 1. OP Tag
Nachtrag: Beide Operationen sind gut verlaufen. Die Patienten konnten stabil auf die Intensivstation verlegt werden. Hier sollen Sie in den heutigen Abendstunden langsam aufwachen. Die Intensivstation ist rund um die Uhr besetzt. Die Pflegekräfte und Ärzte sorgen dafür, dass die Patienten optimal nachbetreut werden.
Während der Operationen fiel mehrmals der Strom aus, sodass z. B. die Herz-Lungen-Maschine kurzzeitig auf Handbetrieb umgestellt werden musste.
Während der Operationen fiel mehrmals der Strom aus, sodass z. B. die Herz-Lungen-Maschine kurzzeitig auf Handbetrieb umgestellt werden musste.
Für den heutigen Tag sind zwei Operationen geplant. Das Team beginnt mit zwei "leichteren" Fällen. Es dient dazu, dass sich die Mannschaft auf die neue Situation einstellen kann und um eine gewisse Routine und Sicherheit zu finden.
Es werden ein 16jährigen Mädchen und ein 22jähriger junger Mann operiert. Bei beiden Patienten lautet die Diagnose: Mitralklappenstenose. In den für heute geplanten Operationen muss jeweils die Mitralklappe ersetzt werden. Für die beiden jungen Erwachsenen und deren Familien ist diese Operation die letzte Hoffnung auf ein halbwegs normales Leben. Für das junge Mädchen heißt diese Operation auch, dass Sie niemals Kinder bekommen kann. Beide Patienten müssen ihr Leben lang Medikamente einnehmen.
Die Mitralklappe ist eine der beiden Vorhof-Herzkammer- oder AV-Klappen im Herz und funktioniert wie ein Ventil, das den Rückfluss des Blutes aus der linken Herzkammer in den linken Vorhof bei der Kontraktion verhindern soll. Sie ist, auf Grund ihrer Form, einer Mitra (Bischofsmütze) ähnlich und danach benannt.
Es werden ein 16jährigen Mädchen und ein 22jähriger junger Mann operiert. Bei beiden Patienten lautet die Diagnose: Mitralklappenstenose. In den für heute geplanten Operationen muss jeweils die Mitralklappe ersetzt werden. Für die beiden jungen Erwachsenen und deren Familien ist diese Operation die letzte Hoffnung auf ein halbwegs normales Leben. Für das junge Mädchen heißt diese Operation auch, dass Sie niemals Kinder bekommen kann. Beide Patienten müssen ihr Leben lang Medikamente einnehmen.
Die Mitralklappe ist eine der beiden Vorhof-Herzkammer- oder AV-Klappen im Herz und funktioniert wie ein Ventil, das den Rückfluss des Blutes aus der linken Herzkammer in den linken Vorhof bei der Kontraktion verhindern soll. Sie ist, auf Grund ihrer Form, einer Mitra (Bischofsmütze) ähnlich und danach benannt.

oberes Bild - vorbereiteter OP-Saal; unteres Bild - 1. OP


Samstag 05.03.2011 Black Lion Hospital
Der Tag heute ist geprägt vom "Auspacken". Die schon vorab verschifften 3Tonnen Material müssen ausgepackt und griffbereit auf der Intensivstation und im OP verteilt werden. Hier wird jede Hand benötigt. Weiterhin muss die Herz-Lungen-Maschine und alle anderen mitgebrachten Gerätschaften aufgebaut und positioniert werden. Die Stromversorgung wird überprüft und anschließend können dann auch die mitgebrachten Monitoranlagen angeschlossen werden. Sie müssen sich das wie bei einem Umzug vorstellen.

oben: Blick aus dem OP auf den anderen Teil des KH; unten: gemeinsames Auspacken

Freitag 04.03.2011 Addis Abeba
Ankunft in Addis Abeba. Das erste Lebenszeichen erreichte uns gegen 19.41 Uhr deutscher Zeit. (Äthiopien 2+ Stunde) Es hat alles reibungslos geklappt. Alle 27 Teilnehmer haben das benötigte Visum erhalten. Jetzt geht es zum Zoll, hier muss die Einfuhr der unten aufgeführten Handgepäckstücke geklärt werden. In den letzten Jahren bestand immer das Problem, dass die Zollbeamten alles auspacken wollten.

Freitag 04.03.2011 am Frankfurter Flughafen
Das Team ist gut am Flughafen in Frankfurt angekommen. Es geht auch gleich zu den Check-In-Schaltern, da einige sensible Gerätschaften und Materialien im Handgebäck mitgeführt werden müssen. Dazu gehören ein Herz-Ultraschallgerät, die Herzklappen und das Operationsbesteck.
Beim Zoll hat alles sehr gut geklappt. Durch die letzten Vorkommnisse am Frankfurter Flughafen wurden alle Taschen und Rucksäcke auf Sprengstoff untersucht.

Freitag 04.03.2011 um 04.00 Uhr in der Früh
Die letzten Utensilien werden schnell noch aus der Klink geholt und verstaut. Die ersten Koffer sind bereits eingeladen und dann geht es auch schon los. Das Busunternehmen "Schmidt Reisen" sorgt auch in diesem Jahr wieder dafür, dass das Team gut am Frankfurter Flughafen ankommt.
Ein letzter Gruß vom Team: "Wir möchten uns an dieser Stelle bei allen Bedanken, die dieses Projekt auch in diesem Jahr wieder möglich gemacht haben. Vielen Dank an alle Sponsoren und ein großes Dankeschön geht ebenfalls an alle privaten Spender."
Mittwoch 02.03.2011
Es sind noch 2 Tage bis zur Abreise. Am Freitag dem 04. März geht´s los. Der Bus fährt ca. 4.00Uhr am Klinikum in Braunschweig ab. Das Team besteht in diesem Jahr aus 27 Mitarbeiterinnen und Mitarbeitern. Das Flugzeug startet ca. 12.00 Uhr am Frankfurter Flughafen. Jetzt heißt es Koffer packen....

